Treating Metastatic Lung Cancer In Dogs / Regression Of Pulmonary Tumor Metastases After Intravenous Infusion Of Download Scientific Diagram : Other times, surgical removal of the tumor may be appropriate.
Dapatkan link
Facebook
X
Pinterest
Email
Aplikasi Lainnya
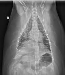
Treating Metastatic Lung Cancer In Dogs / Regression Of Pulmonary Tumor Metastases After Intravenous Infusion Of Download Scientific Diagram : Other times, surgical removal of the tumor may be appropriate.. Especially consider artemisinin for lymphoma, osteosarcoma, and other cancers that fall under the heading of phlegm nodule cancers. While lung cancer affects male and female dogs at the same rate, certain breeds are at higher risk for developing lung cancer, such as boxers and dobermans. If your dog has fewer than four lung nodules, it's possible for your vet to surgically remove them to increase your dog's life span, according to the animal surgical center of michigan. So, if a dog that first got cancer in their mouth for instance, or in their bones, they risk the chance of it metastasizing through the bloodstream to the lungs. Read this post for more information on the symptoms, causes, and treatment of lung cancer in dogs.
Principles of holistic cancer treatment in dogs. Treating lung cancer in dogs with chemotherapy after a thorough examination and diagnosis of lung cancer has been made, a veterinary oncologist may choose to treat the cancer with chemotherapy, especially if the cancer has spread or surgery is not an option. Read this post for more information on the symptoms, causes, and treatment of lung cancer in dogs. Pulmonary metastases (also known as lung metastases or lung mets) can be asymptomatic early on. Lung cancer (adenocarcinoma) average cost.
Lung Cancer In Dogs Causes Signs Treatment Canna Pet from g77v3827gg2notadhhw9pew7-wpengine.netdna-ssl.com The second kind of lung cancer in dogs is called metastatic lung cancer, which means the cancer originated somewhere else in the body, but has spread to the lung. The lung is the most common location for metastatic osteosarcoma. Metronomic chemotherapy is also a reasonable, theoretical treatment option. Dogs generally tolerate this surgery well and are discharged soon after the procedure. Your dog might also receive chemotherapy and radiation. Metastatic lung cancer is usually associated with a worse prognosis, and fewer treatment options than primary lung cancer. Without treatment, lymph cancer results in the death of the dog or cat within four to six weeks. First of all, surgical removal is the most straightforward way of eliminating the cancerous cells because it is a way of literally removing the cancerous lung tumor.
Canine lung cancer can be primary or metastatic.
So, if a dog that first got cancer in their mouth for instance, or in their bones, they risk the chance of it metastasizing through the bloodstream to the lungs. For many dogs, the recommended treatment is surgery. Metastasis is rare in dogs with axial tumors, except for osteosarcoma of the ribs, scapula or pelvis.1 the diagnosis of osteosarcoma with metastatic disease is historically associated with a First of all, surgical removal is the most straightforward way of eliminating the cancerous cells because it is a way of literally removing the cancerous lung tumor. Your dog must be fit for surgery and undergo this procedure with an oncologist. Metastatic lung cancer can be treated with radiation or chemotherapy. Holistic vets evaluate dog cancer supplements. Dogs generally tolerate this surgery well and are discharged soon after the procedure. Metastatic lung cancer originates in other parts of the body such as a leg bone, the mouth, or the thyroid gland, but has spread to the lung through the bloodstream. The second kind of lung cancer in dogs is called metastatic lung cancer, which means the cancer originated somewhere else in the body, but has spread to the lung. Radiation therapy is sometimes used for the treatment of lung cancer in dogs depending upon the proximity of the lung tumor to the heart. Generally, this smaller number of metastases occurs when the primary cancer is an osteosarcoma. They can be detected on chest radiographs or computed tomography (ct) scanning.
If you discovered that your dog or cat has lung metastasis before amputation surgery, you may want to ask your veterinarian about bisphosphonates and palladia, two pet cancer therapies to reduce pain, that are useful when amputation is not an option. Generally, this smaller number of metastases occurs when the primary cancer is an osteosarcoma. They can be detected on chest radiographs or computed tomography (ct) scanning. Computed tomography (ct scan) can be performed to identify some of these lung tumors. Fewer ingredients in a properly balanced fresh food diet = better nutrition and a stronger immune system.
Lung Cancer In Dogs Symptoms Causes Treatment from www.natural-dog-health-remedies.com Most primary lung tumors are diagnosed at an average age of 10 to 12 years in dogs. Surgery for canine lung cancer surgery is by far the mainstay of treatment for dogs with lung carcinoma or histiocytic sarcoma of the lungs, especially with a single mass. This is an injectable form of chemotherapy shown to provide a partial response to treatment in a very small number of dogs with lung tumors. Most dogs recover well from this procedure and return home quickly after the surgery. In this procedure, the chest cavity is opened and the mass, along with the portion of the affected lung lobe is removed. Treating metastatic cancer in general, treatment of metastatic cancer in dogs depends on the stage of the cancer and the location. Read this post for more information on the symptoms, causes, and treatment of lung cancer in dogs. If you think of the large airway with a tumor as similar to the.
Fewer medical procedures = less aggravation of the cancer.
Lung cancer treatment for dogs: Lung cancer in dogs and cats compared to people, primary lung cancer is very uncommon in dogs. First of all, surgical removal is the most straightforward way of eliminating the cancerous cells because it is a way of literally removing the cancerous lung tumor. In order to accurately and definitively the diagnosis of primary lung cancer in your dog, your veterinarian will perform a physical examination, as well as the order of several tests. That is why it has a high rate of metastasis (spreading to other parts of the. There are other supplements i will use for animals with lung involvement depending on the type of cancer. Primary lung tumors can spread to other areas of the lungs, lymph nodes, bones, and the brain, although spread to other organs. Treating metastatic cancer in general, treatment of metastatic cancer in dogs depends on the stage of the cancer and the location. Surgical intervention is not usually recommended but may be possible depending on certain clinical criteria. The lung is the most common location for metastatic osteosarcoma. The second kind of lung cancer in dogs is called metastatic lung cancer, which means the cancer originated somewhere else in the body, but has spread to the lung. Without treatment, lymph cancer results in the death of the dog or cat within four to six weeks. Of the primary lung tumors in dogs, more than 80% are malignant (cancerous).
Radiation therapy is sometimes used for the treatment of lung cancer in dogs depending upon the proximity of the lung tumor to the heart. Dogs generally tolerate this surgery well and are discharged soon after the procedure. Lung cancer in dogs and cats compared to people, primary lung cancer is very uncommon in dogs. Surgical intervention is not usually recommended but may be possible depending on certain clinical criteria. Surgery for canine lung cancer surgery is by far the mainstay of treatment for dogs with lung carcinoma or histiocytic sarcoma of the lungs, especially with a single mass.
Inhalation Chemotherapy For Macroscopic Primary Or Metastatic Lung Tumors Proof Of Principle Using Dogs With Spontaneously Occurring Tumors As A Model Clinical Cancer Research from clincancerres.aacrjournals.org The first treatment option for lung tumors in dogs is surgery. Treating metastatic cancer in general, treatment of metastatic cancer in dogs depends on the stage of the cancer and the location. In order to accurately and definitively the diagnosis of primary lung cancer in your dog, your veterinarian will perform a physical examination, as well as the order of several tests. That is why it has a high rate of metastasis (spreading to other parts of the. However, this tumor can also grow anywhere blood vessels are present. Most lung tumors are malignant carcinomas and hemangiosarcoma. It is also much more common than primary lung tumors in pets, so it is important to be as certain as possible about the. Generally, this smaller number of metastases occurs when the primary cancer is an osteosarcoma.
In this procedure, the chest cavity is opened and the mass, along with the portion of the affected lung lobe is removed.
In most cases, radiation therapy may be used to help reduce the size of the tumor and destroy the cancerous cells. Surgery for canine lung cancer surgery is by far the mainstay of treatment for dogs with lung carcinoma or histiocytic sarcoma of the lungs, especially with a single mass. A complete medical history and a physical exam are important because it will establish a list of possible diagnoses. The lung is the most common location for metastatic osteosarcoma. So, if a dog that first got cancer in their mouth for instance, or in their bones, they risk the chance of it metastasizing through the bloodstream to the lungs. All these herbal formulas can safely be used with chemotherapy or radiation with the exception of artemisinin. Older dogs are also more often diagnosed with lung cancer. They can be detected on chest radiographs or computed tomography (ct) scanning. A 2012 study looked at turkey tail mushrooms in treating dogs with hemangiosarcoma. The average survival is closer to 8 months for dogs with big tumors, and 2 months if there is metastasis. Treatment for lung cancer in dogs if your dog is diagnosed with lung cancer, surgery to remove the portion of the lung where the tumor is located may be recommended. Most lung tumors are malignant carcinomas and hemangiosarcoma. These are some of the principles i follow for my cancer patients.
Perumusan eksplisit mengenai unsur melawan hukum tindak pidana korupsi. Bentuk tindak pidana korupsi merupakan delik formil yang dalam aturan sebelumnya sebagai delik materiel 3). Perluasan jenis tindak pidana korupsi berupa suap 4). 16.02.2010 · defect yang terjadi setelah sistem berjalan maka biaya dikalikan faktor 100 contoh soal : 100 = 25000 44500 instalasi 30. Teori Biaya Biaya Biaya Produksi Seluruh Biaya Oportunitas Eksplisit Implisit Dan Biaya Tidak Relevan Dalam Membuat Output Barang Dan Jasa Pdf Document from reader017.staticloud.net Bentuk tindak pidana korupsi merupakan delik formil yang dalam aturan sebelumnya sebagai delik materiel 3). 100 = 25000 44500 instalasi 30. 100 = 500 500 desain 10. 100 = 18000 19500 pengujian sistem 25. Perluasan jenis tindak pidana korupsi berupa suap 4). 16.02.2010 · defect yang terjadi setelah s...
What Is The Color For Prostate Cancer - Formulation Development for Prostate Cancer Offers Hope ... / Higher rates may be due to better or for a prostate biopsy, tiny pieces of tissue are removed from the prostate and looked at under a microscope. . The first sign of recurrent prostate cancer may be a rise in the psa level. Important things to know there is evidence that prostate cancer may begin as a precancerous state. What are the different types of radiation therapy options? As will all cancer the cause is not known for sure. Prostate cancer is the most common nonskin cancer among men in the united states. The prevalence of prostate cancer seems to be the highest in australia, new zealand, north america and western and northern europe, primarily because the practice of getting. The most commonly used tests for prostate cancer are A blood test called a prostate specific antigen (psa) test measures the level of psa in the blood. Prostate cancer is the main cause of...
Pinterest Card Making - I Saw A Card On Pinterest Using This Layout I Chose Different Papers Which Made My Card A Different Color T Embossed Cards Paper Cards Greeting Cards Handmade - Collection by susan burrows • last updated 5 days ago. . 요리법, 집 꾸미기 아이디어, 영감을 주는 스타일 등 시도해 볼 만한 아이디어를 찾아서 저장하세요. Find and save ideas about card making on pinterest. See more ideas about card making, cards handmade, inspirational cards. Card making tutorials card making techniques card making templates christmas tree cards holiday cards. But my schedule got a bit busy, so i decided to. This past week i've been very busy making cards to swap with other demonstrators while in orlando, celebrating the 30th birthday of. Today's card is created using this week's sketch at freshly made. See more ideas about card making, cards handmade, stampin up cards. See more ideas about card making, cards handmade, inspirational cards. For inspiration for card making ideas, why not take a lo...
Komentar
Posting Komentar